| Pages:
1
..
6
7
8
9
10
..
17 |
Hey Buddy
Hazard to Others
 
Posts: 444
Registered: 3-11-2020
Location: Bushwhacker Country
Member Is Offline
|
|
iNAP
[Edited on 21-10-2024 by Hey Buddy]
 
|
|
|
Hey Buddy
Hazard to Others
 
Posts: 444
Registered: 3-11-2020
Location: Bushwhacker Country
Member Is Offline
|
|
Low rpm NAP
  
|
|
|
Hey Buddy
Hazard to Others
 
Posts: 444
Registered: 3-11-2020
Location: Bushwhacker Country
Member Is Offline
|
|
uNAP

|
|
|
Hey Buddy
Hazard to Others
 
Posts: 444
Registered: 3-11-2020
Location: Bushwhacker Country
Member Is Offline
|
|
1200 rpm NAP
  
|
|
|
ManyInterests
International Hazard
   
Posts: 1024
Registered: 19-5-2019
Member Is Offline
|
|
| Quote: | | Microtek has claimed this, so I would assume it to be accurate. I have not found a form of NAP that is less impact sensitive than ETN. Once in a
while, a sample will withstand quite an impact, but I judge on average, it is a more sensitive material than ETN. iNAP is close, but slightly more
impact sensitive than ETN in my judgement. ETN is a fairly insensitive secondary explosive. Melt state ETN is more impact sensitive than NAP. iNAP is
insensitive to friction within the capabilities of my testing. |
Yeah I don't need to lose any fingers (or whole hands) to misconceptions. So far with this hobby I have avoided any and all serious injuries and I
don't plan on having any incidents. The worst I had is inhalation issues and given the toxicity of NAP byproducts I am having some serious worries
about that.
By melt-state ETN I assume you mean ETN as it is molten? Once it cools back down and hardens it is safer to handle. Still more sensitive, but I have
melt-cast ETN and ground it back up again many times without any incident.
Which is the more impact sensitive than NAP? Melt-cast and resoldified ETN or ETN as it is in liquid form?
| Quote: | | uNAP and NAP detonate at approximately 270 C. iNAP, perhaps a little higher temp. |
I'll have to test that by putting a nichrome wire e-match next to some when testing to see if it does set it off then without a safety match on the
wire.
| Quote: | No two detonator designs are the same, they have wide ranges. The density of the RDX alters the minimum priming masses. The interface from primary to
secondary influences the transfer of the detonation. 50 or 100 mg is more than enough to detonate RDX. RDX can be detonated with 5 mg of uNAP
confidently. I was attempting to demonstrate in this thread that uNAP detonates PETN at less than 1 mg masses. It's like I'm just writing these posts
to myself. |
Yeah sorry about that, I didn't have time to fully read everyone's posts... and wow, that is a teeny tiny amount, so maybe just 25mg that is very
lightly and gently pressed is all I need.
and I am very tired as I write this, so I probably missed out on what others have written. I also will need to review Dugan Boomfax's videos on it. He
does show quite a lot of good stuff there.
There is one safety question I do have: Is there a safe way to neutralize and dispose of NAP (and all variants) without detonating them in some remote
area?
|
|
|
Hey Buddy
Hazard to Others
 
Posts: 444
Registered: 3-11-2020
Location: Bushwhacker Country
Member Is Offline
|
|
NAP forms I've tested are all more impact sensitive than powder ETN. If it is melted ETN in question, it is much more impact sensitive than NAP. Large
crystal slow precipitation NAP is quite sensitive, detonating with only a slight tap from a 4lb hammer. iNAP is more impact and friction insensitive
than any other high powered primary I'm familiar with besides some of the unusual tetrazoles.
Quote: Originally posted by ManyInterests  |
I'll have to test that by putting a nichrome wire e-match next to some when testing to see if it does set it off then without a safety match on the
wire.
|
Glowing nichrome ranges from somewhere between 400 C to 1000 C so it is definitely going to surpass 270 C, which will detonate NAP immediately
assuming there is heat transfer.
Quote: Originally posted by ManyInterests  |
Yeah sorry about that, I didn't have time to fully read everyone's posts... and wow, that is a teeny tiny amount, so maybe just 25mg that is very
lightly and gently pressed is all I need. |
No worries, I'm happy if I can help. I am soft for SM members. SM has taught me so much.-- On primes, It will depend on your exact configuration but
IMO 25 mg of any NAP in contact with RDX at medium to low density, will transfer detonation.
Quote: Originally posted by ManyInterests  |
There is one safety question I do have: Is there a safe way to neutralize and dispose of NAP (and all variants) without detonating them in some remote
area? |
You can boil NAP to decompose it, it will turn black when destroyed. Water itself desensitizes it and it doesn't detonate when wet. It sort of
crackles and pops. If you boil NAP black, it is likely nickel oxide in there along with some perchlorate which can contaminate water and interfere
with thyroid glands in people and animals if they indirectly ingest it or absorb it at high enough concentration.
|
|
|
ManyInterests
International Hazard
   
Posts: 1024
Registered: 19-5-2019
Member Is Offline
|
|
| Quote: | | NAP forms I've tested are all more impact sensitive than powder ETN. If it is melted ETN in question, it is much more impact sensitive than NAP.
Large crystal slow precipitation NAP is quite sensitive, detonating with only a slight tap from a 4lb hammer. iNAP is more impact and friction
insensitive than any other high powered primary I'm familiar with besides some of the unusual tetrazoles. |
| Quote: | | No worries, I'm happy if I can help. I am soft for SM members. SM has taught me so much.-- On primes, It will depend on your exact configuration but
IMO 25 mg of any NAP in contact with RDX at medium to low density, will transfer detonation. |
This information is what I need, and the uNAP variant is what I am looking at the most, since it does appear to be superior to iNAP. I plan on hard
pressing RDX in my caps as much as I can (as it is much safer to press anyway... RDX is quite forgiving), but as you and others have noted: The harder
the pressing of the secondary, the bigger punch you need to set it off, meaning I need I will want to add more than 25mg (like I said, 50mg or
100mg... make it 100mg) to absolutely guarantee detonation.
And loading that much might be dangerous. But given that it did take Dugan Boomfax did give some uNAP bits a few good smacks with his 4 lb steel
hammer to get it to go off, I might be exaggerating, especially with how softly I press my primaries nowadays.
Another thing that could be done is to do what Dugan did with iNAP by loading the material in a plastic tube that is making contact with a
fuse/e-match and then inserting that into the blasting cap. He said he does this mostly with iNAP and not often with uNAP, but he did imply he has
done it that way. This does more friction work than impact, and uNAP is quite friction insensitive.
| Quote: | | Glowing nichrome ranges from somewhere between 400 C to 1000 C so it is definitely going to surpass 270 C, which will detonate NAP immediately
assuming there is heat transfer. |
I believe you! I will still test it to be sure once I have everything.
| Quote: | | You can boil NAP to decompose it, it will turn black when destroyed. Water itself desensitizes it and it doesn't detonate when wet. It sort of
crackles and pops. If you boil NAP black, it is likely nickel oxide in there along with some perchlorate which can contaminate water and interfere
with thyroid glands in people and animals if they indirectly ingest it or absorb it at high enough concentration. |
and I assume after the NAP is destroyed, some elemental iron will be needed (some steel bits will work I assume?) in order to destroy the perchlorates
as well.
|
|
|
Brightthermite
Hazard to Others
 
Posts: 133
Registered: 26-6-2019
Member Is Offline
|
|
Quote: Originally posted by Hey Buddy  |
I've been trying to recreate the small mass detonations of PETN and have not been able to replicate. The difference is small but there appears to be a
difference in high rpm and uNAP materials.
[Edited on 21-10-2024 by Hey Buddy] |
Interesting information. So would you say for all practical purposes they are equivalent?
Side note - where did you get those containers from in your above post? They look to be the perfect size to store primaries.
|
|
|
Hey Buddy
Hazard to Others
 
Posts: 444
Registered: 3-11-2020
Location: Bushwhacker Country
Member Is Offline
|
|
Quote: Originally posted by Brightthermite  | Quote: Originally posted by Hey Buddy  |
I've been trying to recreate the small mass detonations of PETN and have not been able to replicate. The difference is small but there appears to be a
difference in high rpm and uNAP materials.
[Edited on 21-10-2024 by Hey Buddy] |
Interesting information. So would you say for all practical purposes they are equivalent?
Side note - where did you get those containers from in your above post? They look to be the perfect size to store primaries. |
Yes, I think they are practically equivalent, there is a difference in sensitivity, and uNAP seems to have a slight edge in small masses. I tested
this 1200 rpm for mechanical sensitivity and found it similar in friction sensitivity. iNAP is considerably more insensitive to impact and friction
than uNAP or high RPM NAP.
I buy those special containers from a seller on ebay for small experimental samples, because they have colored caps that help me keep track of the
samples. https://www.ebay.com/itm/264701055849
|
|
|
Microtek
National Hazard
  
Posts: 979
Registered: 23-9-2002
Member Is Offline
Mood: No Mood
|
|
Ok, I have synthesized uNAP from [Ni(NH3)6](ClO4)2 and AQ*HClO4, which is the method I prefer to use. After boiling 5 minutes, the clear black
solution was transferred to an ultrasonicator which was set to 22 C, and sonicated for 10 minutes. The product was seen to precipitate very abruptly
shortly after being put in the sonicator. After the 10 minutes, the mix was filtered, washed with a small amount of water and twice with ethanol and
then dried at around 30 C in air.
My observations are:
The uNAP contains very fine particles (some hundreds of nanometers), but also larger crystals of up to about 5 um in diameter and somewhat longer than
that.
When heated on Al foil over a flame, uNAP is very impressive, detonating with great brisance in sub-milligram quantities as Hey Buddy has reported. In
this regard it surpasses NAP prepared with continuous stirring.
I haven't yet had time to test sensitivity.
I think ultrasonication offers at least one distinct advantage over other methods of NAP preparation, and that is the rapidity with which the product
separates from the mother liquor. I hypothesize that the ultrasonics help with nucleation, and it obviously and unsurprisingly also prevents the
formation of large crystals as precipitation occurs.
|
|
|
ManyInterests
International Hazard
   
Posts: 1024
Registered: 19-5-2019
Member Is Offline
|
|
Quote: Originally posted by Microtek  | Ok, I have synthesized uNAP from [Ni(NH3)6](ClO4)2 and AQ*HClO4, which is the method I prefer to use. After boiling 5 minutes, the clear black
solution was transferred to an ultrasonicator which was set to 22 C, and sonicated for 10 minutes. The product was seen to precipitate very abruptly
shortly after being put in the sonicator. After the 10 minutes, the mix was filtered, washed with a small amount of water and twice with ethanol and
then dried at around 30 C in air.
My observations are:
The uNAP contains very fine particles (some hundreds of nanometers), but also larger crystals of up to about 5 um in diameter and somewhat longer than
that.
When heated on Al foil over a flame, uNAP is very impressive, detonating with great brisance in sub-milligram quantities as Hey Buddy has reported. In
this regard it surpasses NAP prepared with continuous stirring.
I haven't yet had time to test sensitivity.
I think ultrasonication offers at least one distinct advantage over other methods of NAP preparation, and that is the rapidity with which the product
separates from the mother liquor. I hypothesize that the ultrasonics help with nucleation, and it obviously and unsurprisingly also prevents the
formation of large crystals as precipitation occurs. |
I will be looking with great interest in your tests. Especially the sensitivity tests for obvious reasons.
|
|
|
Microtek
National Hazard
  
Posts: 979
Registered: 23-9-2002
Member Is Offline
Mood: No Mood
|
|
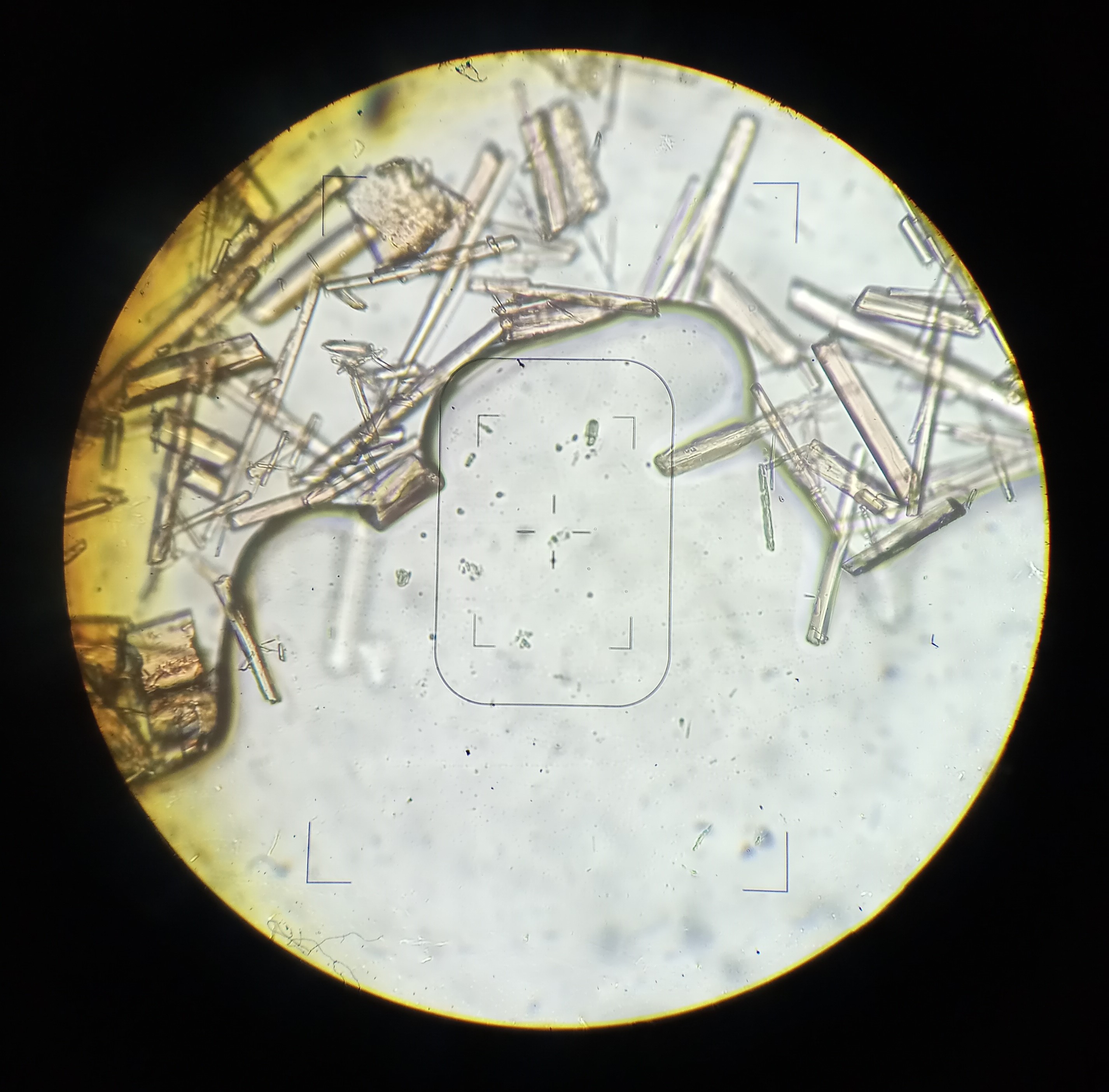
I have performed a round of sensitivity tests on the uNAP. I recorded 5 out of 5 no go's a the max setting of my apparatus, same as the stirred NAP.
For this reason, I can't conclude anything about the sensitivity of uNAP versus stirred NAP, but I can conlude that they are both less sensitive in
this test than PETN.
I took this picture through my microscope. It is perhaps not clear in this image, but the little specks seen in the frame are small crystals of NAP.
The much larger crystal just on the right edge of the central frame is about 10 micron in diameter (I have an etched slide with a scale to compare).
In my opinion there are real differences in the performance of uNAP and stirred NAP on the very small scale, however, I think it can be explained
solely by particle size effects. Furthermore, I think the differences are negligible in most practical applications. The purpose of a primary is
usually to initiate a base charge, and stirred NAP (or even larger crystals of NAP) will accomplish this very effectively in minute quantities; 10-20
mg or so. Even 100 mg pressed into a standard detonator body takes up space like the skin on an apple, so there is rarely a reason to use just 5 mg.
|
|
|
ManyInterests
International Hazard
   
Posts: 1024
Registered: 19-5-2019
Member Is Offline
|
|
| Quote: | | I have performed a round of sensitivity tests on the uNAP. I recorded 5 out of 5 no go's a the max setting of my apparatus, same as the stirred NAP.
For this reason, I can't conclude anything about the sensitivity of uNAP versus stirred NAP, but I can conlude that they are both less sensitive in
this test than PETN. |
So they are less impact sensitive than PETN? That is a big big advantage, but I am also kinda still worried if there is something different about your
uNAP vs how Dugan Boomfax did it. What was your test? when you say 5 out of 5 no go's you mean you tested it 5 times with impact tests and they all
failed to detonate? Or was your test something else? I know that uNAP has greatly reduced friction sensitivity, enough that I don't need to worry
about it when loading and pressing, but it is the impact that worries me the most.
Because like I said many times before, when I load by hand (wearing gloves of course) and am using NHN, if some NHN lands on my glove and not in the
cap, I scrape it into the cap gently. So I know uNAP can handle that. After that I take my dowel and tap the side to get everything to be more
compacted before I slowly and gently insert the wooden dowel and very lightly and slowly press a few times with less than 1kg of force (maybe even a
less than 100 grams) to more simply compact the stuff than to press it. The NHN might even still fall out if I tip it to the side (albeit I never
tried that) due ot how lightly pressed it is. I do do some scraping on the side to make sure everything is in an even layer.
After this it is either the e-match with some epoxy or a fuse with crimping the cap (I collar the fuse with electrical tape to make a snugger fit).
I could build a pressing apparatus using syringes and water (similar to this), but that might apply more pressure than what is needed.
I mentioned it many times, but this is my anxiety disorder speaking. I was like this when I was loading my first caps with ETN and NHN, and I know now
those are very safe to work with. I just want to know if I can do the same with uNAP.
|
|
|
pjig
Hazard to Others
 
Posts: 182
Registered: 25-5-2010
Member Is Offline
Mood: always learning
|
|
U-nap should be very well suited for this process , probably better than anything I’ve run across in years of research. Its is very healthy to be
extremely cautious with HE materials. Never loose that , complacency is the mother of all disasters.
|
|
|
Hey Buddy
Hazard to Others
 
Posts: 444
Registered: 3-11-2020
Location: Bushwhacker Country
Member Is Offline
|
|
Quote: Originally posted by Microtek  | I have performed a round of sensitivity tests on the uNAP. I recorded 5 out of 5 no go's a the max setting of my apparatus, same as the stirred NAP.
For this reason, I can't conclude anything about the sensitivity of uNAP versus stirred NAP, but I can conlude that they are both less sensitive in
this test than PETN.
I took this picture through my microscope. It is perhaps not clear in this image, but the little specks seen in the frame are small crystals of NAP.
The much larger crystal just on the right edge of the central frame is about 10 micron in diameter (I have an etched slide with a scale to compare).
In my opinion there are real differences in the performance of uNAP and stirred NAP on the very small scale, however, I think it can be explained
solely by particle size effects. Furthermore, I think the differences are negligible in most practical applications. The purpose of a primary is
usually to initiate a base charge, and stirred NAP (or even larger crystals of NAP) will accomplish this very effectively in minute quantities; 10-20
mg or so. Even 100 mg pressed into a standard detonator body takes up space like the skin on an apple, so there is rarely a reason to use just 5 mg.
|
I really enjoyed reading this. Thank you.
|
|
|
Microtek
National Hazard
  
Posts: 979
Registered: 23-9-2002
Member Is Offline
Mood: No Mood
|
|
Hey Buddy: It was my pleasure.
Many Interests: When I refer to 5 out of 5 no go's, it means that I have conducted the experiment five times (with fresh samples of uNAP on fresh sand
paper each time) and all five times the uNAP did not react by being struck. In the same test, PETN usually reacts once or twice in five attempts.
Bear in mind that mechanical sensitivity is stochastic in nature, at least to an extent. That is to say, 5 out of 5 no-go's is not a guarantee that it
will never react to this stimulus.
However, I am surprised that impact sensitivity is your main concern when loading caps. I think high force impacts should be exceedingly unlikely
during this operation, but grinding the substance between surfaces such as detonator body and ram rod is probably a fairly common occurence.
|
|
|
ManyInterests
International Hazard
   
Posts: 1024
Registered: 19-5-2019
Member Is Offline
|
|
| Quote: | | However, I am surprised that impact sensitivity is your main concern when loading caps. I think high force impacts should be exceedingly unlikely
during this operation, but grinding the substance between surfaces such as detonator body and ram rod is probably a fairly common occurence.
|
So I was wrong to assume that impact and pressure is the thing I should be worried about but more on the friction side? If that is the case, then
given that uNAP is very friction resistant then I guess I scan safely assume I can load it and press it normally like I do NHN?
My main worry about that when I was pressing (with gradual increases in pressure obviously, no sudden smacks!) that would be the thing that would set
off my cap prematurely. I always thought this would be more impact than friction (though the friction obviously would have a huge factor, too).
|
|
|
pjig
Hazard to Others
 
Posts: 182
Registered: 25-5-2010
Member Is Offline
Mood: always learning
|
|
So the issues that arise are usually from large Chrystal formations that are very sensitive, some primary’s like lead azide are prone to det upon
breaking the Chrystal structure. Same with nap, large crystals (not u-nap or inap) . But I believe that the sensitivity of this nap material is way
less compared to LA. I still would caution being aware of this potential danger. Microscopic investigations are a good way to confirm your size and
shape of finished primary .
Blast sheild all safety gear are recommended for pressing process. It’s always un-nerving feeling pressing primary portions .
Several folks suggest a lot of pressure to get commercial standard pressures for caps … some say (amateurs) light pressure. I assume the caps
purpose is more the dictating factor and what materials it has to initiate.
|
|
|
Microtek
National Hazard
  
Posts: 979
Registered: 23-9-2002
Member Is Offline
Mood: No Mood
|
|
I would recommend building a setup that can handle an accidental detonation during the pressing process. A vice with a shield that can resist the
small fragments from a cap is not hard to improvise. It will be worth it in terms of peace of mind, even if NAP (stirred or ultrasonicated) or other
very safe primary is used.
In regards to pressure, I would suggest pressing the base charge quite firmly (maybe a few thousand psi), then optionally a layer pressed at just a
few hundred psi, and finally the primary also at a few hundred psi. I set off my NAP with an arc discharge through a pinch of fluffy gun cotton held
in a 3 mm ID plastic cup that is inserted into the cap. The flash is enough to get it going every time, so I don't think you have to worry that
pressing the primary will make it too difficult to ignite.
|
|
|
ManyInterests
International Hazard
   
Posts: 1024
Registered: 19-5-2019
Member Is Offline
|
|
Well I have always used an e-match with the nichrome wire around a safety match to provide flame and the only time it failed it when the epoxy plug
seeped down and blocked the circuit. For my next attempts I am actually retiring the safety match and going to rely on the hot nichrome wire alone, in
addition to a tighter fitting electrical tape collar and more crimping than epoxy (which I will still use as a waterproofing measure).
As for making a loading fixture, I have decided to build one. I looked online for various ideas but I settled on making something similar to the
fixture found in the improvised munitions handbook. Except I will make it half as long and I will add more blast shielding. I will still need to give
the primary a very, very light tamp to get rid of any air pockets. Before pressing but I should be safe. I will play loud music also when doing it as
a just in case...
Edit: the reason why I am getting rid of the safety match in my igniter is because I noticed in some instances where I used things like pen bodies and
even aluminum bodies that the match actually survives the blast! Meaning it was the heat of the nichrome that got to the primary before it had a
chance to burn the safety match.
Once I get my nickel carbonate (the only ingredient I am missing) I will test out my e-matches to see if the nichrome alone is reliable. I will also
see if it is possible to coat the wire with uNAP to turn the match also into the primary container.
[Edited on 1-11-2024 by ManyInterests]
|
|
|
pjig
Hazard to Others
 
Posts: 182
Registered: 25-5-2010
Member Is Offline
Mood: always learning
|
|
Just curious why you don’t dope your nichrome wire and make a E match? There are many compositions at work great for a dip. One that comes to mine
is the co-precipitate of potassium ferricyanide and potassium perchlorate
|
|
|
ManyInterests
International Hazard
   
Posts: 1024
Registered: 19-5-2019
Member Is Offline
|
|
Well I have very little potassium perchlorates (I keep forgetting to coat my old MMO electrode with PbO2 to get it to become a perchlorate anode), but
I got no ferricyanide. I did read about some compositions and tested at least one out, but it didn't work. So I ditched those ideas and just stuck
with a safety match.
Do you have any suggestions? Maybe putting a little gun cotton at the absolute end like Microtek did?
|
|
|
Microtek
National Hazard
  
Posts: 979
Registered: 23-9-2002
Member Is Offline
Mood: No Mood
|
|
You can crush up match heads and mix the powder with an acetone solution of NC to make a thick porridge. Then dip your nichrome wire in that. It works
very well, and I use it when I do VOD measurements with ionisation probes and an oscilloscope. The fluffy NC ones are less labour intensive since all
I need to do is to snip off a piece of wire with two leads and put one end into the 3d printed plastic cup I mentioned earlier. Then stuff in a small
piece of gun cotton and insert the cup into the cap. It is then fired by a couple of batteries through a one dollar boost converter. This makes an arc
from one lead to the other across the cut end of the wire.
These don't work for VOD measurements however, since the arc triggers the scope before the the CJ-zone even arrives at the first probe.
|
|
|
Axt
National Hazard
  
Posts: 966
Registered: 28-1-2003
Member Is Offline
Mood: No Mood
|
|
Quote: Originally posted by Microtek  | I use it when I do VOD measurements with ionisation probes and an oscilloscope. The fluffy NC
This makes an arc from one lead to the other across the cut end of the wire.
These don't work for VOD measurements however, since the arc triggers the scope before the the CJ-zone even arrives at the first probe.
|
Curious, at what voltage you are using across the probe and over what gap? I had made boards up which are still sitting around pic attached, with the
intent to fire a charge across the PCB tracks. 2 types, some to break the 0.2mm track and other to act as ionisation probes with a gap; some 2mm and
some 0.5mm. These were never tested as I never had a battery powered scope at the time.
Originally, I had planned to use about 1kV over the 2mm gap but then toned it back to low voltage over 0.5mm. Your comment seems to confirm that
thought, that the higher voltage discharge would interfere with the other gaps (acting as antennas) so a lower voltage should be used.
|
|
|
Brightthermite
Hazard to Others
 
Posts: 133
Registered: 26-6-2019
Member Is Offline
|
|
Quote: Originally posted by Microtek  | You can crush up match heads and mix the powder with an acetone solution of NC to make a thick porridge. Then dip your nichrome wire in that. It works
very well, and I use it when I do VOD measurements with ionisation probes and an oscilloscope. The fluffy NC ones are less labour intensive since all
I need to do is to snip off a piece of wire with two leads and put one end into the 3d printed plastic cup I mentioned earlier. Then stuff in a small
piece of gun cotton and insert the cup into the cap. It is then fired by a couple of batteries through a one dollar boost converter. This makes an arc
from one lead to the other across the cut end of the wire.
These don't work for VOD measurements however, since the arc triggers the scope before the the CJ-zone even arrives at the first probe.
|
Can you explain the VOD measurement process a bit?
Also what does your primary cup look like? Pic of mine attached, there is a very small hole on the underside. These works so well to fill with then
insert into your cap. Its about 10mm long.
|
|
|
| Pages:
1
..
6
7
8
9
10
..
17 |